
こども矯正
お顔を育てる

お子様の
「顔のゆがみ」
まずはお気軽にご相談ください
豊洲駅徒歩2分のFデンタルオフィス 豊洲プライムスクエア院では、こども矯正の無料相談を実施しています
お子様の歯並びや噛み合わせが気になる
顔の成長やバランスが心配
いつから矯正を始めればいいか分からない

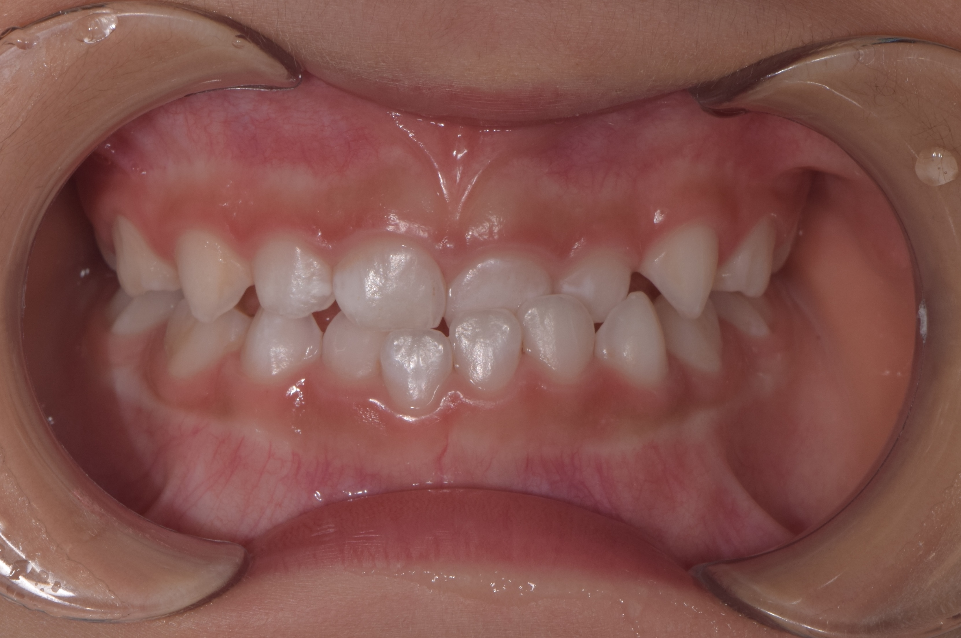
反対咬合

ガタガタ

開咬
クリニック案内
Fデンタルオフィス 豊洲プライムスクエア院 豊洲プライムスクエア院

アクセス
〒135-0061
東京都江東区豊洲5-6-36 豊洲プライムスクエア1階
診療時間
| 診療時間 | 月 | 火 | 水 | 木 | 金 | 土 | 日 |
|---|---|---|---|---|---|---|---|
| 10:00-13:00 | ● | − | ● | ● | ● | ★ | ★ |
| 14:00-19:00 | ● | − | ● | ● | ● | ★ | ★ |
★ 土日:9:00-12:00 / 13:00-17:00
休診日:火曜日
こんな不安はありませんか?
豊洲の歯医者として多くのお子さまを診てきた当院に寄せられるご不安です
不安の声 1
初診料がいくらかかるのか心配です。
相談料は、保険治療の範囲内のみです。
お子様のお口の検査、レントゲン撮影(必要に応じて)、ドクターとの相談などが保険診療で受けられます。矯正治療が必要かどうか、どのような治療法があるかなど、まずはお気軽にご相談ください。
※保険診療の場合、3割負担で1,000〜2,000円程度です。
不安の声 2
こどもの矯正治療を必ずやらなくてはいけないのか心配です。
必ず治療しなくてはいけないということは一切ありません。
検査の結果、治療が不要な場合ははっきりとお伝えします。また、治療が必要な場合でも、お子様の成長段階や歯並びの状態に応じて最適な時期をご提案いたします。無理に治療を勧めることはございませんので、ご安心ください。
不安の声 3
矯正治療で痛みがないか心配です。
痛みはほとんどありません。
当院では原則として、ご家庭で取り外しができる矯正装置を採用しているため、お子様への負担が少なく、痛みもほとんどありません。食事や歯磨きの際には取り外すことができるので、普段通りの生活を送りながら矯正治療を進めることができます。
※症例によっては、取り外しできないワイヤータイプを提案させていただく場合もあります。
不安の声 4
矯正治療の来院回数と費用が気になります。
来院回数は多くて月に1回30分未満、費用は、¥110,000〜となります。
こどもの矯正治療は、お子様の年齢や歯並びの状態によって治療期間や費用が異なります。初回相談時に、お子様の状態を診査した上で、詳しい治療計画と費用についてご説明いたします。また、お支払い方法についてもご相談を承ります。
memo
お子様の歯並びやかみ合わせの
治療に最適な期間は、
限られています。
(6歳〜12歳が理想)
※年齢に関わらずお気軽にご相談ください。
当院の特徴
豊洲の矯正歯科として、お子さまに寄り添った治療を提供します
家でのみ行う矯正

基本的に取り外し可能な装置を使用し、ご家庭で装着していただく治療法です。学校では外せるため、お子様の心理的負担が少なく、食事、歯磨きの際も取り外せるので、虫歯のリスクを減らせます。普段通りの学校生活を送りながら治療可能です。
痛みの少ない治療法

成長期の顎の成長を利用した優しい力で歯並びを整えるため、痛みはほとんどありません。ワイヤー矯正のような強い力で歯を動かさず、お子様の自然な成長に合わせて無理なく治療するため、お子様が嫌がらずに続けられる治療です。
根本改善のMFT

口呼吸や舌の癖など、歯並びが悪くなる根本原因を改善するトレーニング(MFT)を行います。このトレーニングを行わないと必ず後戻りしてしまいます。悪習癖を直すことで治療後の後戻りを防ぎ、長期的に美しい歯並びを維持できます。
お子様に優しい環境

診療台には天井テレビを完備し、お子様が楽しく通院できる環境を整えています。土日診療も行っており通いやすく、お忙しい保護者の方にも配慮したスケジュールで、お子様がリラックスして治療を受けられる環境です。
明確な費用設計

当院ではトータルフィー制度を導入しており、最初にご提示した金額から費用が変わらない安心の費用設計です。治療開始前に総額を明確に提示し、治療途中での追加費用は一切なし。予算を立てやすく、安心して治療を続けられます。
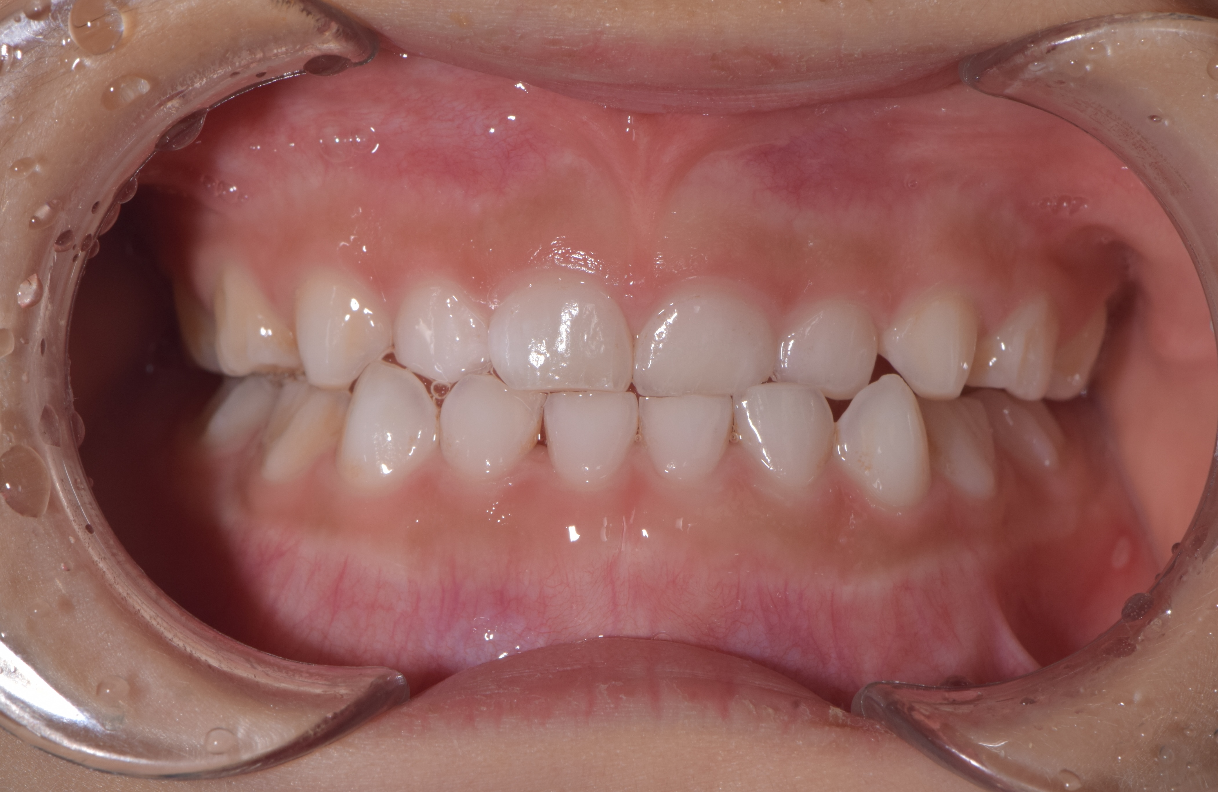
症例紹介
小児
反対咬合の改善


早期の小児矯正により、反対咬合を改善しました。
- 治療内容
- 小児矯正(第1期治療)
- 費用
- 330,000円〜550,000円(税込)
- 治療期間・回数
- 約1〜2年(治療期間)/月1回の通院
- 保険適用
- 自由診療(保険適用外)
- 主なリスク・副作用
- 装置による痛み・違和感、発音のしづらさ、むし歯・歯肉炎リスク、まれに後戻りの可能性
小児
出っ歯からの改善


小児矯正により、出っ歯(上顎前突)を改善しました。
- 治療内容
- 小児矯正(第1期治療)
- 費用
- 330,000円〜550,000円(税込)
- 治療期間・回数
- 約1〜2年(治療期間)/月1回の通院
- 保険適用
- 自由診療(保険適用外)
- 主なリスク・副作用
- 装置による痛み・違和感、発音のしづらさ、むし歯・歯肉炎リスク、まれに後戻りの可能性
小児
歯並びと噛み合わせの深さの改善


矯正治療で歯並びと深い噛み合わせをバランスよく整えました。
- 治療内容
- 小児矯正(第1期・第2期治療)
- 費用
- 550,000円〜880,000円(税込)
- 治療期間・回数
- 約2〜3年(治療期間)/月1回の通院
- 保険適用
- 自由診療(保険適用外)
- 主なリスク・副作用
- 装置による痛み・違和感、発音のしづらさ、むし歯・歯肉炎リスク、歯根吸収、まれに後戻りの可能性
※ 掲載している症例は一例です。治療効果・期間・費用は患者様の症状により異なります。詳細はカウンセリングでご説明いたします。
医師紹介

福永 真大
Masahiro Fukunaga / 院長・歯科医師
経歴
- • 大阪大学歯学部 卒業
- • 医療法人同仁会ワタナベ歯科医院にて研修医指導医・診療主任を歴任
- • 駒沢公園通り西垣歯科・矯正歯科 副院長
- • 小児歯科部門の立ち上げ
- • Fデンタルオフィス 豊洲プライムスクエア院 開業
- • 咬合育成研究会監修 生活習慣改善アプリの開発
所属学会
日本小児歯科学会 / 日本矯正歯科学会 / 日本歯周病学会 / 日本口腔インプラント学会 / 日本審美歯科学会
当院が大切にしていること
私の父は、30年近く小児矯正に携わってきた歯科医師です。幼い頃からその背中を見て育ち、歯並びや噛み合わせが日々の習慣で大きく変わることを学んできました。当院のコンセプトは「未来のいいお顔を育てる」。
クリニックの選び方
豊洲エリアで歯医者・矯正歯科をお探しの方へ
都内には多くのクリニックがありますが、
下記条件を意識して選ぶとよいでしょう。
こども矯正の実績と専門知識のある医師が診ること
お子様の成長段階に応じた治療時期の提案があること
歯を並べるだけではなく、歯並びが悪くなった原因にもアプローチすること
治療費用や支払い方法について丁寧に説明してくれること
当院にお任せください!

当院はお子様に負担の少ない取り外し可能な矯正装置を採用しており、こども矯正の豊富な実績を持つ医師が最後まで患者さまに寄り添います。
お子様の成長段階に合わせた最適な治療プランをご提案し、歯並びだけでなく口腔機能全体の改善を目指します。
治療の流れ
相談・カウンセリング

歯並びのお悩みやご希望を伺い、お口の中を拝見して、治療の必要性や時期についてお話しします。
精密検査

レントゲン(セファロ)、写真撮影、型取りなどを行い、骨格や歯の状態を詳しく調べます。
診断・治療計画

検査結果に基づき、最適な治療法、期間、費用について詳しくご説明します。
治療開始(1期治療)

装置を装着し、定期的に通院して調整を行います。MFT(口腔筋機能療法)も並行して行います。
経過観察・保定

永久歯が生え揃うまで経過を観察します。必要に応じて2期治療へ移行します。
料金について
豊洲の歯科 Fデンタルオフィス 豊洲プライムスクエア院の小児矯正料金 ※表示価格はすべて税込です
よくあるご質問
豊洲の歯医者 Fデンタルオフィス 豊洲プライムスクエア院に寄せられるこども矯正のよくあるご質問
いつから始めるのが良いですか?
今すぐ始めた方がいいです。ただ、この「今すぐ」というのは装置を開始するということよりは、お子様には必ず何かしらの悪い習慣があるからです。歯並びが悪い場合には、そういった意味で日ごろの習慣を改善させるという一種の矯正を行うのも良いと思います。
痛みはありますか?
装置を調整した直後は、歯が浮くような違和感や痛みを感じることがありますが、数日で慣れることがほとんどです。子供の骨は柔らかいため、大人よりも痛みは少ないと言われています。
費用はどのくらいかかりますか?
1期治療の目安は11〜66万円程度です。詳しくは料金表をご覧ください。デンタルローンもご利用いただけます。
学校に装置をつけていく必要はありますか?
使用する装置にもよりますが、取り外し可能なマウスピース型や拡大床の場合、基本的には「家にいる時」と「寝ている時」の装着だけになります。学校生活への影響はほとんどありません。
小児矯正をもっと深く知る
豊洲の矯正歯科が解説する、お子様の歯並び治療に関する各テーマごとの詳しい情報です
いつ始める?緊急性と時期
こども矯正はいつから?3〜7歳が最適な開始時期|「様子を見ましょう」のリスク
受け口は3歳から、デコボコは6歳から。最適な開始時期は3〜7歳(混合歯列期)です。 早期治療により2期治療が不要になる可能性が高まります。
詳しくはこちら →家庭でできるトレーニング
費用と期間の不安を解消
学校生活への影響
使用する装置について
この記事の監修者

歯科医師
Fデンタルオフィス 豊洲プライムスクエア院
院長 福永 真大(ふくなが まさひろ)
歯科医師免許
矯正歯科、小児歯科、予防歯科、審美歯科
- 日本矯正歯科学会
- 日本小児歯科学会
- 日本歯周病学会
- 日本口腔インプラント学会
大阪大学歯学部 卒業
医療法人同仁会ワタナベ歯科医院にて研修医指導医・診療主任を歴任
駒沢公園通り西垣歯科・矯正歯科 副院長
小児歯科部門の立ち上げ
Fデンタルオフィス 豊洲プライムスクエア院 開業
咬合育成研究会監修 生活習慣改善アプリの開発
患者様一人ひとりに最適な治療をご提供できるよう、科学的根拠に基づいた診療を心がけています。 お口の健康を通じて、皆様の豊かな人生をサポートさせていただきます。
監修日: 2026年4月23日
最終更新日: 2026年4月23日